치주염의 증상은 무엇인가요?
치주염의 증상은 무엇인가요? 
치주염은 치주 지지 조직에 발생하는 만성 염증성 질환으로, 주로 사람들의 잘못된 구강 위생 습관으로 인해 발생합니다.
초기 증상은 분명하지 않습니다.모두 '불'로 잘못 알고 있습니다.당신도 모르는 사이에 심각한 결과를 초래하는 것은 이러한 오해입니다. 여기에서는 치주염의 주요 증상에 대해 알려 드리겠습니다.
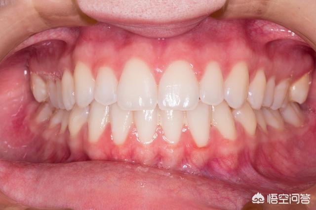
첫째, 잇몸의 염증 반응, 붉고 부어 오르고 통증이 있고 잇몸에서 출혈이 있습니다.

둘째, 치주낭의 형성과 프로브가 주머니 내 고름이있는 깊은 치주낭에 도달하는 능력입니다.

셋째, 치조골 흡수, 뿌리 주위의 다양한 정도의 치조골 흡수, 흡수
넷째, 느슨하고 이동하는 치아, 치주염 환자는 종종 다른 정도의 느슨한 치아를 동반합니다.

치주염은 예방할 수 있습니다.좋은 생활 습관, 구강 건강 예방에 대한 올바른 인식, 올바른 예방 건강 제품을 선택하면 치주염을 효과적으로 예방할 수 있습니다.
아침 일찍과 자기 전에 양치질을 하고, 식사 후에는 입안을 헹구고, 올바른 양치 방법을 이해하고 숙지하세요. 부적절한 구강 관리 제품을 선택해 잇몸 문제가 악화되는 것을 방지하기 위해 올바른 치약, 칫솔, 치실을 구입하세요.
치주염 관련 문제에 대해 자세히 알아볼 수 있도록 "미스터 치아" 팔로우 + 좋아요를 환영합니다!
치주염은 치주 조직의 세균 감염과 잇몸 변화로 인해 발생하는 질환으로, 치주염이 심하면 성인 치아를 상실할 수도 있습니다. 치주염 환자의 대부분은 35세 이상이며, 흡연, 음주, 비만이 있는 모든 연령대의 사람들도 치주염에 걸릴 위험이 높습니다. 치주염의 증상은 무엇인가요?
가장 흔한 형태의 치주염은 잇몸 출혈입니다. 매일 양치질을 할 때 치아 뿌리가 빨갛게 부어오르고 피가 나는 것을 발견하게 되는데, 양치질할 때뿐만 아니라 말을 하거나 딱딱한 것을 깨물 때에도 치아 뿌리가 부종으로 인해 진한 붉은 색을 띠고 반짝이는 것처럼 보입니다. 이 상태를 잇몸 출혈이라고 하며, 잇몸 출혈은 주로 아침과 저녁에 양치질을 하거나 딱딱한 것을 씹을 때 나타납니다.
건강한 잇몸의 깊이는 일반적으로 2 밀리미터 이하이며, 2 밀리미터를 초과하면 치주 주머니가 있고, 치주 주머니가 있으면 잇몸이 부어 고름이 나오고 심한 경우 치주 주머니에서 고름이 나오는 것을 의미합니다. 치주낭이 말기까지 진행되면 치아가 흔들리는 현상이 나타나는데, 이때 지지력을 지탱하는 치주조직이 충분하지 않아 치주조직이 서서히 노화를 향해 가고 있기 때문입니다. 치주염의 마지막 단계에서는 치주염으로 인해 잇몸이 서서히 줄어들고 결국 치아가 노출되고 벅 치아가 나타납니다.
따라서 항상 구강 위생에 주의를 기울이고 좋은 위생 습관을 길러야 합니다. 아침 일찍과 잠자리에 들기 전에 양치질을 하고, 식사 후에는 입을 헹구고, 올바른 양치질 방법을 이해하고 숙달해야 합니다. 치주 질환의 초기 징후에 세심한 주의를 기울이세요.
강사: 류안팡, 쑤이저우시 중의약 병원 펜타클리닉 부원장
전문 분야: 20년 이상 펜타톨로지 임상 업무에 종사해 왔으며 펜타톨로지의 일반적인 질병 진단 및 치료에 대한 풍부한 경험을 보유하고 있습니다.
이 글이 유용했다면 좋아요를 누르거나 친구에게 추천하고 [메드링크 미디어]를 팔로우해 주세요.

치주염의 초기 증상은 잇몸이 빨갛게 부어오르고 피가 나며 구취가 나는 것입니다. 치주염의 증상은 치은염과 매우 유사하여 쉽게 알아차리지 못할 수 있으며, 알아차렸을 때는 이미 심각한 상태인 경우가 많습니다.
치주염이 심해져 치조골의 흡수가 증가하면 치아가 헐거워지고 음식을 먹을 때 힘이 빠지는 느낌이 듭니다. 이는 결국 치아 손실로 이어질 수 있습니다. 치아를 나무에 비유하면 치조골은 나무가 자라기 위한 토양입니다. 토양이 서서히 손실되면 나무는 자연스럽게 시들게 됩니다.

4, 고름의 치주 오버플로는 절개 및 배액이 가능합니다.
치주 조직에는 잇몸, 치조골 및 치주 막이 포함되며 치주염은 치주 조직에서 발생하는 만성 염증으로, 일반적으로 치은염은 실제로 치주염의 상태라고 말합니다. 치주염은 치주 조직과 잇몸에 박테리아가 침입하여 발생하며, 특히 플라그와 치석의 형성이 흔한 원인입니다. 또한 구강 위생에주의를 기울이지 않고 흡연, 음주, 입을 헹구지 않고 단 것을 먹는 것과 같은 일부 나쁜 습관도 치주염 발병률을 크게 증가시킵니다. 치주염의 주요 증상은 다음과 같습니다:
첫째, 잇몸이 붉어지고 부어 오르거나 심지어 통증과 출혈을 동반하는 "화재"증상이라고도하는 잇몸의 염증 반응은 종종 음식을 씹는 데 영향을 미칩니다. 이것은 치주염의 첫 번째 흔한 증상입니다.
둘째, 치주 주머니의 형성은 염증의 확장으로 인해 잇몸 아래 깊은 치석, 치주 막이 파괴되고 치조골이 점차 흡수되고 잇몸과 뿌리가 분리되고 치주 주머니가 형성됩니다. 치주낭은 종종 궤양과 육아 조직으로 채워져 있으며 고름이 넘쳐나는 원인이 됩니다. 프로브를 사용하면 주머니 내 고름이 있는 깊은 치주낭을 감지할 수 있습니다.
셋째, 치조골 흡수, 치아 뿌리 주위에 다른 정도의 치조골이 흡수되며, 이때 치아의 안정성에 영향을 미치고 치아의 외관도 어두워지는 징후가 있습니다.
넷째, 느슨하고 이동 된 치아. 치주 조직의 파괴로 인해 치조골 흡수가 악화되고 치아를지지하는 힘이 부족하여 치아가 느슨해지고 이동하는 현상이 발생합니다. 질병이 진행됨에 따라 많은 치주염 환자는 치아가 느슨해지는 정도가 다르며 종종 둔한 통증, 잇몸 출혈, 무는 약점 및 구취 및 기타 이상 증상이 동반되며 이는 치주 조직의 파괴로 인해 치아의 강도가 충분하지 않기 때문입니다.
실제로 치주염은 좋은 생활 습관, 구강 건강 예방 인식 개선, 의식적인 아침저녁 칫솔질과 헹굼 습관, 올바른 칫솔질 방법 숙지 등을 통해 예방할 수 있습니다.

페이지 하단 [자세히 알아보기]를 클릭하면 더 많은 답변을 보거나 의사에게 무료로 질문할 수 있습니다!
'주치의 온라인' 헤드라인 번호를 팔로우하면 더 많은 건강 Q&A를 쉽게 볼 수 있습니다~~~~
중국 대중과학작가협회 회원인 우이보를 초대하여 질문에 답변해 주셔서 감사합니다.간단히 말해, 치주염의 초기 증상은 그다지 분명하지 않고 환자는 구취 나 이차적 인 잇몸 출혈이 있지만 제때 치료하지 않으면 치아가 헐거워지고 치주 고름이 넘치고 치주 주머니가 형성되는 등의 증상이 나타납니다.
먼저 치주염이 어떻게 발생하는지 이해해야 합니다.
치주염은미생물, 숙주, 환경이 복합적으로 작용하여 발생하는 치명적인 질병입니다.에 기인하는치주 조직과 잇몸의 박테리아 침입으로 인한 병변.으로 이어질 수 있습니다.성인 치아 상실. 중 하나미생물학적 요인은 주로 플라그와 플라그가 석회화될 때 형성되는 치석입니다.호스트 요인은 주로 다음과 같은 이유로 발생합니다.비타민 및 무기 염분 결핍증유기체의면역 기능 저하. 또한.흡연과 비만은 치주염의 발생 가능성을 크게 높일 수 있습니다.
그렇다면 위의 모든 치주염 증상의 구체적인 특징은 무엇일까요?
첫째느슨한 치아환자는 종종 둔한 통증, 잇몸 출혈, 약한 교합 및 구취 증가를 경험하는데, 이는 치주 조직의 파괴와 그에 따른 치아 강도 부족으로 인한 것입니다.
마음에 들면 오른쪽을 클릭하여 팔로우하고 더 많은 건강 지식을 공유하세요!
다음.치주 농양잇몸을 가볍게 누르면 악취와 함께 고름이 나올 수 있습니다.
끝치주 백이는 치주 막의 파괴, 잇몸과 치아의 분리, 고름이 넘쳐나는 원인 인 주머니에 궤양과 과립 조직의 빈번한 존재로 인한 것입니다.
치주염은 치명적이지는 않지만 많은 통증을 유발할 수 있습니다. 사실 이 질병은 일상 생활에서 조금만 더 주의를 기울이면 완전히 예방할 수 있습니다.건강한 식습관과 일상을 유지하고 비타민을 충분히 섭취하는 것은 신체의 저항력을 향상시키는 기초입니다. 또한 구강 건강을 유지하고 흡연과 음주를 줄이며 일방적인 씹기를 피하면 치아를 효과적으로 보호할 수 있습니다!。
질문 답변자: 산동대학교 약학부 장 한 검토자: 우이보
치주염은 주로 국소적인 요인에 의해 발생하는 치주 지지 조직의 만성 염증입니다. 발병 연령은 35세 이후에 더 흔합니다. 치주염의 일반적인 원인은 다음과 같습니다.

치주염의 원인
1. 치아 표면에 부착된 미생물.
2. 치석이라고도 하는 무기질 플라크가 치아 위에 쌓입니다. 일반적으로 육안으로 보이는 치석은 보통 타액의 칼슘과 인에 의해 발생합니다.
3. 불량 수복물은 치아 주변 조직에도 염증을 일으킵니다.
치주염의 증상은 무엇인가요?
1. 잇몸 출혈, 치주염의 증상은 주로 잇몸이 붉고 붓고 피가 나는 증상으로 나타나며, 양치질이나 딱딱한 물건을 깨물 때 피가 나기도 하지만 때때로 저절로 피가 나기도 합니다.
2. 정상적인 상황에서 건강한 잇몸의 치은 열구의 깊이는 2mm를 초과하지 않으며 2mm를 초과하는 것을 치주 주머니라고합니다. 치주 주머니가 형성되면 염증이 이미 치주지지 조직으로 진행되었으며 염증으로 인해 약간 더 깊은 치주 조직이 감염되고 치주 주머니에서 화농성 분비물이 넘칠 수 있음을 의미합니다.
3. 치주염 초기에는 치아가 풀리지 않지만 만성 염증이 어느 정도 진행되어 치주 조직의 지지력이 약해지기 시작하면 치아의 풀림이 발생합니다.
잇몸 후퇴는 또한 치주염의 전형적인 증상 중 하나이지만 환자는 쉽게 알아 차리지 못하며 잇몸을 자극하는 치석 압력을 장기간 받기 때문에 발생합니다. 그러나 일부 노년기 치주 조직 불황은 주로 치주 조직 자체와 치아 마모로 인해 치아가 계속 분출 (신생아가 아닌 치아), 압력 뿌리 노출의 형성으로 인해 생리적 상황입니다.

치은염: 잇몸 주위에 치석과 플라그가 보이고, 잇몸이 건강한 분홍색에서 밝은 빨간색으로 변하며, 붓기와 통증, 양치질이나 식사 시 출혈, 장기간 구강 냄새가 동반되는 것이 주요 증상입니다.
이때 염증은 아직 치주 조직을 침범하지 않았으며 간단한 스케일링만으로 잇몸을 자극하는 치석과 플라그를 제거하면 염증이 사라지고 잇몸이 건강하게 회복됩니다.
2. 초기 치주염 : 치은염의 증상 외에도 치주 주머니가 형성되고 치조골이 흡수되기 시작했으며 잇몸이 약간 줄어들고 있습니다.
이때 염증이 이미 치주 조직을 침범한 상태이므로 스케일링 외에도 치주 주머니 내부의 플라그와 일부 염증 조직을 제거하기 위해 치은 긁기가 필요합니다. 긁어낸 후에는 항염증 및 소독 치료를 해야 하며, 그렇지 않으면 치주염이 재발하기 쉽습니다. 요즘에는 일반적으로 약물로 치료하지만 레이저 치료와 같은 더 이상적인 살균 방법도 있습니다. 레이저 치주낭 살균과 결합된 치은연하 스크래핑과 같이 살균이 더 깨끗하고 감염과 재발을 효과적으로 줄일 수 있습니다.

3. 중기 및 후기 치주염: 치주낭의 심화, 치주 농양, 치조골 흡수, 잇몸 함몰, 치아 뿌리 노출로 인한 치아 민감성, 치아가 풀리고 이동, 치아 간격이 커짐, 씹는 힘 약화 등. 치주낭이 더 심해지면 치주염이 악화됩니다.
치주 지지 조직은 재생되지 않기 때문에 잇몸 퇴축과 치조골 흡수는 되돌릴 수 없으며, 치료는 염증을 제거하고 질병이 더 이상 진행되지 않도록 막을 수 있을 뿐입니다. 이 단계의 치료에는 기본적인 치주 치료인 스케일링과 치은연하 스크래핑 외에도 치주 부목 고정, 교정, 교정 치료 등과 같은 일부 수복 치료가 필요합니다.
4. 후기 치주염: 치주염이 진행 단계로 발전하면 치조골이 완전히 파괴되어 치아가 헐거워지거나 이동하거나 심지어 상실되기도 합니다.
치아를 유지하기 위해 일부 치주 수술을 하더라도 예후는 좋지 않습니다. 치아 상실 후에는 상실된 치아를 복원하거나 틀니를 착용하거나 임플란트를 해야 합니다.
치주염은 붉고 부어 오르고 피가 나는 잇몸으로 시작하여 주관적으로 느끼고 관찰 할 수 있지만 많은 사람들이 이러한 증상이 고통스럽지 않고 건강에 무해하다고 잘못 생각하기 때문에 이러한 증상을 무시합니다. 이로 인해 상황이 더 심각해지면 치주 질환의 존재가 발견되고 급성 발작이 발생하면 환자는 열, 안면 부종 및 기타 증상, 통증 및 심각한 결과를 겪게됩니다. 일반적으로 치주염에는 다음과 같은 7가지 증상이 있습니다:
- 칫솔질로 인한 출혈
칫솔질로 인한 출혈은 잇몸 염증을 가장 빨리, 그리고 가장 잘 감지할 수 있는 증상입니다. 출혈이 간헐적이든 지속적이든, 크든 작든, 자연적이든 칫솔질과 음식 섭취로 인한 자극이든, 잇몸 상태가 좋지 않다는 신호이며 염증의 진행 정도를 확인하기 위해 치과 의사의 진찰이 필요합니다.
물론 장기 흡연자, 잇몸 색이 옅고 질감이 단단하며 출혈 경향이 덜한 장기 흡연자 등 양치질을 해도 피가 잘 나지 않는 치주 질환 환자도 있습니다. 또한 평소 양치질을 덜 꼼꼼하게 하고 물건을 깨무는 치아 표면만 닦아 잇몸을 전혀 자극하지 않는 환자도 있습니다. 장기간의 과학적 연구에 따르면 흡연은 염증의 발생을 촉진하는 치주염과 밀접한 관련이 있으므로 정기적인 치주 검진은 예방과 조기 치료의 핵심입니다. - 잇몸 통증
농양으로 이어지는 급성 염증으로 인해 잇몸이 붓고 통증이 있는 부위가 개별적으로 존재합니다. - 지속적인 구취
구취는 여러 가지 원인으로 인해 발생할 수 있는 흔한 구강 질환이며, 치주염이 중요한 원인 중 하나입니다. 치주염은 잇몸에서 피가 나고 조직에 염증이 생기며 병원성 박테리아가 생성하는 대사 산물이 모두 구취의 원인이 됩니다. - 잇몸이 붓거나 가렵거나 불편한 경우
치주 질환은 잇몸 부종을 유발할 수 있으며, 일반적으로 이러한 부종과 파괴는 통증이 없습니다. 하지만 잇몸 부위가 붓거나 가렵거나 불편한 느낌이 들거나 이쑤시개나 손가락으로 만졌을 때 불편한 느낌이 든다면 전문적인 치주 검진과 치료가 필요하다는 의미입니다. - 치아가 헐거워지거나 상실된 경우
치아가 헐거워지는 것은 어느 정도 염증의 증상입니다. 일부 헐거움은 치료 후 완화될 수 있지만, 그렇지 않은 경우도 있어 치아를 씹을 때 삶의 질에 어느 정도 영향을 미칠 수 있습니다. 개별 치아가 헐거워지거나 심지어 저절로 빠지는 것이 발견되면 치주 검진을 받는 것이 중요합니다. - 치아 사이의 간격이 점점 더 벌어지는 것 같습니다.
치주 질환이 생기면 잇몸과 그 아래 치조골이 후퇴하여 잇몸과 치조골이 차지해야 할 치아 사이의 공간이 노출되어 치아 사이의 간격이 점점 더 넓어집니다. - 치아, 특히 위아래 앞니의 이동치아가 벌어진 것이 눈에 띄지 않을 때도 있지만, 시간이 지나면서 윗니 또는 아랫니의 위치가 서서히 바뀐 것처럼 느껴질 때도 있습니다. 예를 들어 앞니의 중간 간격이 커지거나, 앞니 하나가 뒤틀리거나, 앞니가 바깥쪽으로 보이거나, 아래 앞니에 틈이 생기는 등 치주염의 증상일 가능성이 매우 높습니다.
증상은 두 사진을 비교하여 보세요.


스케일링은 치주염을 예방하는 가장 확실한 방법입니다.
{!-- PGC_VIDEO:{'status': 0, 'thumb_height': 360, 'group_id': 6492967722333241869, 'media_id': 1564278764498946, 'vname': '11.27 3.mp4', 'vid': '4e6a714567b7427b96baf42ddd46b4d6', 'video_size': {'high': {'h': 472, 'subjective_score': 0, 'w': 840, 'file_size': 18777639}, 'normal': {'h': 360, 'subjective_score': 0, 'w': 640, 'file_size': 11701511}}, 'src_thumb_uri': '4919000444b078912456', 'sp': 'toutiao', 'vposter': 'http://p1.toutiaoimg.com/origin/4917000d0f764a4d6bd1', 'external_covers': [{'mimetype': 'webp', 'source': 'dynpost', 'thumb_height': 360, 'thumb_url': '4917000d3ee3b2ab8cc1', 'thumb_width': 640}], 'thumb_width': 640, 'duration': 225, 'hash_id': 7829630911335849486, 'vu': '4e6a714567b7427b96baf42ddd46b4d6', 'item_id': 6492967722333241869, 'user_id': 54615893964, 'thumb_url': '4917000d0f764a4d6bd1', 'md5': '10aec2275280620f8f3e20a5523c9d8a', 'neardup_id': 4011541711071750782} --}
치주염은 주로 치주 지지 조직(치은, 치주, 치조골 및 상아질)의 국소적 요인에 의해 발생하는 만성 염증입니다.초기에는 대부분 자각 증상이 뚜렷하지 않습니다.그렇게 될 것입니다.잇몸이 붉어지고 붓고 아픈 잇몸 출혈, 구취로 인한 이차성 잇몸 출혈징후는 따뜻하거나 뜨겁지 않습니다. 대부분의 사람들의 의식에서, 이들은 "질병이 아닌", 단지 "잇몸에 불"만, 주의를 기울이지 않으며, 심지어 흘림이 풀릴 때 치아가 여전히 어둠 속에있을 때까지 많은 사람들이 치료하기에는 너무 늦었습니다.
염증이 더 심해지면 다음과 같은 증상이 나타날 수 있습니다:
치주 포켓 형성: 염증의 확장으로 인해 치석이 잇몸 아래 깊숙이 들어가고 치주 막이 파괴되고 치조골이 점차 재 흡수되고 잇몸이 뿌리에서 분리되고 치주 주머니가 형성됩니다.
치주 농양치주낭 벽에 궤양과 염증성 과립 조직이 형성되어 있고 화농성 분비물이 주머니에 남아 잇몸을 부드럽게 누르면 고름이 넘치고 화농성 구취가 동반되는 것을 볼 수 있습니다.
느슨한 치아치주조직의 파괴로 인해 치조골 흡수가 심해지고 치아를 지지하는 힘이 부족해져 치아가 헐거워지고 이동하는 현상이 발생합니다. 이때 환자는 종종 약한 물림, 둔한 통증, 잇몸 출혈 및 구취 증가를 느낍니다.
치주 질환은 천천히 진행되며 수십 년 동안 지속될 수 있으며, 이를 예방하는 가장 효과적인 방법은 매일 구강 건강 관리를 잘하고 건강한 생활 습관을 고수하는 것입니다:
1. 흡연, 음주, 늦게까지 자는 나쁜 습관을 바꾸세요;
2. 식사 후 입안을 헹구고 매번 3~5분씩 하루에 두 번 이상 양치질을 하며 올바른 양치질 자세를 익힙니다;

3. 치실과 치간 칫솔과 같은 청소 도구를 사용하는 습관을 기르세요;
4. 정기적인 구강 검진, 1년에 1~2회 스케일링, 칫솔질로 인한 출혈, 잇몸이 붉고 붓는 증상, 통증, 구취 등이 있는 경우 제때 점검하여 치주의 숨겨진 위험을 관리하는 것이 더 중요합니다;
5. 바람직하지 않은 (치아) 힘은 또한 치조골의 흡수를 유발할 수 있습니다. 이갈이, 이 악물기 등 극복하기 어려운 나쁜 습관이 있는 경우 의사와 상담하여 치료를 받아야 합니다;
6. 불량 수복물과 같이 치주 조직에 자극을 유발할 수 있는 요인이 입안에 있는 경우 가능한 한 빨리 제거해야 합니다.
본 질문과 답변은 사이트 이용자의 질문과 답변으로 사이트의 입장을 대변하지 않으며, 침해가 있을 경우 관리자에게 문의하여 삭제해 주시기 바랍니다.





