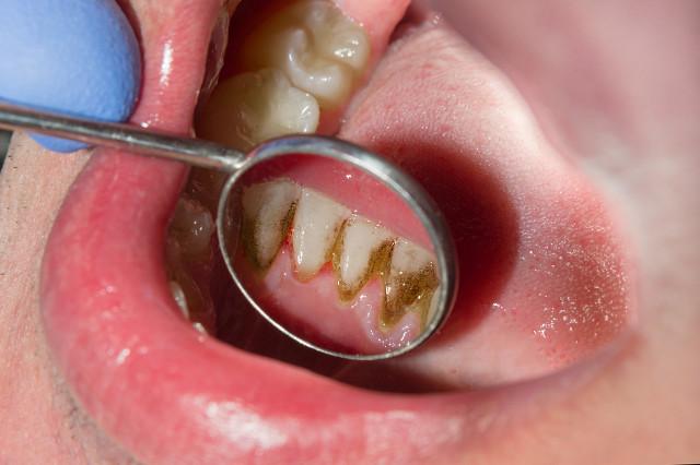
매일 밤 양치질을 할 때 앞니 안쪽에 두꺼운 치석이 있고 손으로 살살 만져지는데 어떻게 해야 하나요?
매일 밤 양치질을 할 때 앞니 안쪽에 두꺼운 치석이 있고 손으로 살살 만져지는데 어떻게 해야 하나요?
스케일링을 통해 제거해야 하는 치석으로, 병원에 방문하여 스케일링을 받아야 합니다.
치과 용 치석은 많은 수의 박테리아가 포함되어 있으며, 예를 들어 입안의 나쁜 맛, 잇몸 출혈, 잇몸 불황 치은염 증상이 치주 질환으로 발전 할 수있는 많은 해를 끼칠 수 있습니다.
치석은 병원 구강과에서 스케일링을 통해 제거할 수 있으며, 이는 치아를 손상시키거나 에나멜을 얇게 하거나 에나멜을 손상시키지 않으며 치아를 느슨하게 하거나 치아 사이의 간격을 넓히지 않습니다.
스케일링은 고주파 마이크로파 진동으로 큰 치석 조각을 잘게 부수어 제거하는 것으로, 우리가 일반적으로 생각하는 것처럼 치석을 갈아서 없애는 것이 아닙니다.
치석은 잇몸을 오랫동안 누르고 잇몸을 수축시키기 때문에 치석을 제거한 후에는 치아 사이의 간격이 넓어지고 시린 증상을 느끼게 되는데, 이는 스케일링으로 인한 것이 아니라 그 자체의 문제입니다.
또한 치석이 모든 느슨한 치아를 전체적으로 잡아주기 때문에 치아를 닦기 전에는 치아가 느슨하다고 느끼지 못하다가 치석이 제거되면 치아가 전체에서 개별로 분리되어 치아가 느슨하다고 느끼게 됩니다.
따라서 치은염과 치주 질환을 예방하기 위해 1년에 1~2회 양치질을 하고 구강 위생에 주의를 기울여야 합니다.
방금 이빨을 닦은 남자의 말입니다.
저는 지난주에 양치질을 한 적이 있어서 이 문제에 대해 약간의 발언권이 있다고 생각합니다. 양치질을 해본 적이 없는 분들 중 양치질이 나쁘다고 말씀하시는 분들은 말하기 전에 직접 해보시길 권합니다.
지난 주에는 매일 잇몸에서 피가 나는 통증과 찬물을 마실 때 시린 치아 통증을 견딜 수 없어서 치아를 청소하기로 결정했습니다. 물론 청소하기 전에 용기를 내기 위해 인터넷에서 많은 숙제를했지만 솔직히 내 마음 속으로는 전혀 모르겠습니다. 많은 기사를 읽은 후 일반 병원에서 치아를 닦기로 선택했는데, 결국 병원이 더 공식적인 보장이 있다는 것을 마음 속으로 느낍니다!
저는 샌드블라스트 치아 세정을 선택했습니다. 양치질을 하고 싱크대에서 입을 헹구고 나니 스케일링을 하는 동안 물과 함께 많이 빠져나간 치석이 엄청나게 많이 뱉어져 있었고, 얼마나 심한지 깨닫기도 전에 치석이 얼마나 많은지 알게 되었습니다. 물론이죠. 스케일링 후 처음 이틀 동안은 치아가 더 예민하고 약해진 느낌이 드는 것은 사실입니다. 이제 막 스케일링을 받은 분들을 위해 몇 가지 조언을 드리고 싶습니다. 규칙적으로 양치질을 하고 담배를 덜 피우세요. 치아가 그렇게 민감하지 않으면 괜찮을 것입니다.
이제 치아가 예민하지 않고 입냄새도 사라졌어요. 정말 치아를 깨끗이 닦을 수 있어서 좋았어요.
저는 24살입니다. 저는 24살입니다. 평소 흡연자이고, 치과 치료 전에는 치아 건강에 크게 신경을 쓰지 않았습니다. 사실, 솔직히 말해서. 무슨 말씀인지 잘 모르겠습니다.
의 치아에 이미 문제가 있는데 양치질을 하지 않아도 괜찮나요?
제 의견은 참고용일 뿐입니다. 여러분 모두에게 도움이 되었기를 바랍니다.
이 문서에서:앞니 안쪽에 손으로 뜯어낼 수 있는 두꺼운 것이 있으면 어떻게 해야 하나요? 치과의사로서 제 대답은 이렇습니다.이것은 입안의 일반적인 유형의 치석으로, 양치질할 때 손으로 일부를 떼어낼 수는 있지만 완전히 제거하기는 불가능합니다. 치석이 형성되면 이를 제거하기 위해 정기적인 청소가 필요합니다.

미적분은 어떻게 형성되나요?
치석은 입안의 이물질로, 치아를 안정화시킬 수 있다는 말을 듣지 못하므로 적시에 제거해야 합니다!
치석의 기원에 대해 간략하게 : 우선 치아 표면이 얇은 막을 형성 한 다음 박테리아가 차례로 흡착되어 음식물 찌꺼기, 칼슘 염 등과 함께 점차적으로 미네랄 화되어 치아 표면에 단단히 부착되며, 이때 아무리 많이 닦아도 깨끗하게 청소할 수 없습니다.

미적분은 어디에서 쉽게 찾을 수 있나요?
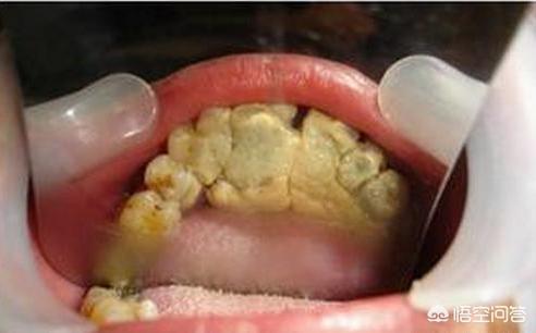
많은 사람들은 항상 구강 상태가 매우 양호하고 통증도없고 색 이상이 없다고 생각하는데 어떻게 치석이있을 수 있습니까? 실제로 많은 사람들이 숨겨진 곳을 무시하고 칫솔의 바깥 쪽 표면 만보기 위해 양치질을하지만 이러한 부위가 잇몸 부종과 통증, 치조골 흡수의 원인이며 치아가 느슨해지는 중요한 이유라는 것을 모릅니다.
일반적으로 덜 사용하는 치아 표면에 나타나는 치석은 치석을 많이 사용하는 쪽의 치아가 치석으로 매우 두껍게 덮여 있는 편향된 쪽을 씹는 환자들을 괴롭힙니다. 또한하악 앞니는 타액관의 입구로 미네랄이 풍부하고 치석이 쉽게 침착되고 형성되기 때문에 입을 크게 벌리면 아래 앞니 설측에 누런 이물질이 보이는 것을 볼 수 있습니다.

계산기를 제거할 수 없나요?
많은 사람이 치석은 구강 내 정상 조직의 일부이며 치아를 튼튼하게 유지하는 데 도움이 된다고 생각합니다.
사실 이것은 오해입니다.
치석의 일반적인 영향은 다음과 같습니다: 구강 냄새, 치아 변색, 대인 관계에 영향을 미치고 잇몸이 붓고 아프고 충치를 유발하며 치주 질환을 유발하고 치아가 풀리거나 흔들리고 빠지는 등의 문제를 일으킵니다.

왜 양치질을 할 수 없다고 말하는 사람들이 있나요?
스케일링에 대한 많은 오해가 있습니다. 가장 흔한 것은 스케일링이 치아 사이의 틈새를 씻어 낼 것이라고 생각하는 것입니다. 실제로는 그렇지 않으며 스케일링은 이물질의 치아 표면을 제거하는 것일 뿐이며 치석은 제거되어 원래 구강 만 노출됩니다. 치석의 장기적인 존재로 인해 치아 사이의 간격이 커져 잇몸 퇴축, 치조골 흡수 및 스케일링과는 아무런 관련이 없습니다.

요약하면 다음과 같습니다.
치아 청소, 많은 사람들은 매일 양치질을하고 있고 잇몸 출혈이 분명하지 않다고 생각하며 치아를 닦지 않을 수 있다고 생각합니다. 사실, 이것은 또한 잘못되었습니다. 우선, 표면이 보이지 않는다고해서 정말 깨끗하다는 의미는 아니며, 숨겨진 위치, 잇몸 안쪽 등에도 치석이 존재하므로 깨끗하게 제거하려면 철저한 스케일링을 수행해야합니다.
따라서 치과 의사가 책임감 있게 알려줍니다.6개월에서 1년마다 치아를 닦고 매년 정기적인 구강 건강 검진을 받아야 합니다. 요컨대, 조기 발견, 조기 치료!
- 덴탈 젠의 방에 가서 청소하는 것이 좋습니다. 며칠 전에 방금 양치질을하러 갔는데 물론 치석이없고 치아 얼룩이 있고 청소에 60 달러를 썼고 사람들은 1 년에 한 번 양치질을해야하지만 매일이를 닦지 만 치아에 쌓인 얼룩이나 치석은 닦을 수없고 시간이 지남에 따라 구취, 치아 문제가 더 자주 발생합니다.
- 특히 구취의 문제, 이것은 자신의 삶에 다른 사람들에게 매우 영향력이 있으며 적시에 씻는 것이 좋습니다, 씻은 후에는 새로운 세상, 입과 치아를 신선하고 달콤하게 먹는 것처럼 깨끗하게 찾을 수 있습니다, 이것은 내 감정이지만 많은 자신감도 있습니다!
- 남성과 여성 치아가 얼굴 가치에 매우 영향을 미치지 않더라도, 당신은 좋아 보이고, 입이 노란 치아의 입을 열거 나 치아 얼룩으로 가득 차 있거나, 입 냄새가 질식하는 이야기, 특히 젊은이들이 사랑하는 사람들과 키스하지 않는다고 생각합니까? 이것은 사랑의 표시이므로 치아를 돌보는 것이 좋습니다.
- 또 다른 좋은 점은 이제 치아를 잘 관리하고, 나이가 들면 더 천천히 빠지고, 일찍 치아를 잃지 말고, 어떤 사람들은 틀니를 설정할 수 있다고 말하고, 가짜 식감과 실제 식감은 확실히 같지 않으며, 틀니 비용은 수년 동안 치아를 청소하기에 충분하다고 말합니다. 따라서 자녀와 함께 시작하고, 치아를 보호하고, 집에서 하루에 두세 번 양치질을하고, 더 나은 칫솔을 사용하고, 더 나은 치약을 사용하고, 장기적으로 보는 것이 좋습니다. 정기적으로 치과에 가서 치아를 닦고 문제가 있으면 치료를 받으세요! 감사합니다!
아주 좋은 질문입니다! 일반적으로 치석으로 알려진 치석은 실제로 치아 표면에 침착되어 석회화되었거나 석회화되는 과정에 있는 플라그와 부드러운 치석을 말합니다.
최근 중국의 구강 건강 역학 조사에서 보고된 데이터에 따르면 35-44세 인구의 치석 발견률은 96.7%, 55-64세 인구의 치석 발견률은 96.4%에 달했습니다.
특히 중요한 것은 청소년의 치석 발견율이 73.6%에 달한다는 사실입니다.
치석은 우리나라에서 흔한 구강 문제인 것은 분명합니다.
그렇다면 일상 생활에서 치석 생성을 예방하는 방법은 무엇일까요? 오늘은 여러분과 함께 이에 대해 이야기를 나눠보려고 합니다.

미적분은 어떻게 형성되나요?
먼저 미적분학이 어떻게 형성되는지 이해해야 하나요?
우리 각자의 입 안에는 많은 박테리아가 있으며, 이러한 박테리아가 우리가 섭취하는 음식의 단백질 및 분해 산물과 섞이면 임상적으로 플라크라고 알려진 끈적한 막을 형성합니다.
이 끈적끈적한 필름은 치아에 달라붙어 제때 닦아내지 않으면 14일 이내에 석회화되기 시작하여 점차 치석을 형성합니다.
치석이 방금 형성된 경우 질감이 여전히 비교적 부드럽기 때문에 저절로 닦아 낼 수있는 좋은 기회가 있으며, 일정 시간이 지나면 천천히 점점 더 단단 해지고 치아 표면에 단단히 부착됩니다.
딱딱하고 단단한 오래된 미적분은 보통 몇 달에서 몇 년이 걸립니다.

플라그 예방은 올바른 칫솔질에서 시작됩니다.
딱딱하고 단단한 치석이 형성된 후에는 전문가에게 특수 도구를 사용하여 제거해 달라고 요청하는 것 외에는 스스로 할 수 있는 방법이 없습니다.
플라그가 형성되고 석회화가 시작되기까지 14일이 플라그를 제거할 수 있는 마지막 기회로 남아 있습니다.
따라서 올바른 칫솔을 선택하고 사용하는 것이 가장 중요한 단계입니다.
먼저, 올바른 칫솔을 선택하는 방법을 알아보세요.칫솔모가 부드러운 칫솔을 선택하고 최소 3개월에 한 번씩 교체하거나 전동 칫솔 사용을 고려하세요.
둘째, 올바른 치약을 선택하는 방법을 배우세요.불소 함량이 높은 치약을 선택할 수 있습니다. 불소는 박테리아와 단백질이 치아 표면에 흡착하는 것을 억제하여 치주염의 발생과 진행을 줄일 수 있습니다.
마지막으로 올바른 칫솔질 방법을 채택하는 것이 중요합니다:이렇게 하려면 칫솔모를 45° 각도로 기울인 상태에서 칫솔 손잡이를 잡고 칫솔모 다발의 끝을 잇몸과 치관의 교차점에 놓습니다.
치아 방향으로 약간의 압력을 가하여 윗니를 닦을 때는 아래쪽으로, 아랫니를 닦을 때는 위쪽으로 치아의 안쪽과 바깥쪽, 교합면을 모두 닦으며 아침에 2번, 매번 3분씩 닦습니다.

칫솔 외에도 두 가지 주요 치아 관리 도구가 있습니다.
아침, 저녁으로 하루 2번, 매번 3분씩, 식사 후와 취침 전에 양치질을 하는 것 외에도 구강 위생을 유지하기 위해 입안을 헹구고, 제거하기 어려운 음식물 찌꺼기나 부드러운 찌꺼기, 플라그는 치실이나 치간 칫솔 등 2가지 주요 치과 도구를 사용하여 청소해야 합니다.
1. 치실은 치아를 보호하는 좋은 방법입니다.치실은 나일론, 실크 또는 폴리에스테르 실로 만들어져 치아 주변 표면의 플라그를 청소하는 데 매우 효과적이며, 특히 평평하거나 볼록한 표면에 좋습니다.
사용법.약 25cm 길이의 치실 조각을 아래로 당겨서 오른손과 왼손 손가락으로 두 가운데 손가락에 치실 끝을 감고 약 1-1.5cm 거리에서 두 손가락 사이의 치실을 조절하고 앞뒤로 톱질 동작을 한 다음 접촉 지점을 부드럽게 통과시킵니다.
2. 칫솔: 치아 관리 도구를 최대한 활용하세요.치아 틈새 브러시는 일반 칫솔과 유사하며 가장 큰 차이점은 틈새 브러시의 칫솔모가 원뿔 모양이라는 사실에만 있으며 틈새의 폭에 따라 크기가 다르며 개인의 필요에 따라 다양한 크기의 틈새 브러시를 선택하여 치아의 틈새와 표면을 청소할 수 있습니다.
치간 칫솔은 치아 사이의 이물질과 먼지를 제거하는 데 적합하며 치아 청소에 효과적입니다.
갭 브러시는 치아 사이가 큰 사람에게 적합하고, 치실은 치아 사이가 작은 사람에게 적합합니다.
요약: 치석을 예방하려면 14일 이내에 플라그가 석회화되는 것을 막아야 하므로 올바른 양치질 외에도 치실과 치간 칫솔이라는 두 가지 주요 치아 관리 도구를 갖추어야 합니다.
동의하시나요?
건강 핫스팟, 의료 문제점에 대한 일일 업데이트; 내가 말하는 것이 당신이 생각하는 것과 정확히 일치한다면, 좋아요, 리트윗, 팔로우 해주세요 Zhu Xiaojun은 건강을 말했다!
특별 참고: 댓글 섹션의 모든 권장 약품은 신중하게 시도해야 하며 전화로 구매해서는 안 됩니다!
저는 어렸을 때부터 치석이 있었는데 심각한 종류입니다. 어렸을 때 무언가를 세게 깨물면 가끔 조금씩 떨어지고 코앞에서 냄새를 맡으면 그 맛은 말할 수 없습니다. 커서는 다리미 같은 걸로 깎기도 했는데 잇몸이 부러지고 피가 나곤 해서 치과를 비롯해 많은 사람에게 물어봤지만 유일한 방법은 치아 스케일링뿐이었어요.
예전에는 스케일링을 받지 않으면 다른 사람들에게 나쁜 모습을 보여줄까 봐 두려웠고, 여러 번 방황했습니다. 하지만 아름다움에 대한 애정과 용기를 내어 개인 치과 스케일링 샵에 가서 초음파 스케일링을 받았습니다. 반쯤 누워서 입가에 고리를 걸어 입을 크게 벌리게 하고, 작은 크롬 다리미 같은 것을 초음파 바에 대고 치석을 떨어뜨립니다. 이 과정은 조금 어렵고 잇몸에 약간의 출혈이 있고 약 30 분 정도 걸리며 그 후 붕사 나 스프레이를 뿌려주면 치아가 훨씬 더 하얗게됩니다. 실제로, 치아를 씻은 후 새로운 모습으로 거울을보세요!

또한 치아를 닦아준 사람에게 왜 치석이 생기는지 물어봤어요. 그들은 입을 제대로 헹구지 않기 때문이라고 했고, 저는 시키는 대로 입을 헹궜지만 여전히 자랍니다. 지금은 1년에 두 번, 작년에 한 번과 내년에 한 번씩 치아를 닦고 있는데 지난 5~6년 동안 치아에 아무런 문제를 느끼지 못했습니다. 하지만 청소를 위해 병원에 간 적이 없고 항상 개인 청소 가게에 가는데 비슷하다고 하지만 병원이 훨씬 더 비싸다고 합니다.

친구 여러분! 치석은 치아의 아름다움에 영향을 미치고 구취를 유발하며 자신감에도 영향을 미칩니다. 가장 좋은 방법은 여전히 치아를 깨끗이 닦고 아침과 저녁에 입 안팎으로 입안을 헹구는 것입니다. 하얀 치아와 상쾌한 입 냄새로 다른 사람과 대화할 때 자신감이 높아질 것입니다!
치석의 표면은 상대적으로 거칠고 자연 잔류 물이 박테리아에 의해 분해되어 플라그를 형성하고 치석에 부착되어 자연스럽게 부드러운 치석을 골라 낼 수 있지만 전체 치석 조각은 골라 낼 수 없으며 일부는 잇몸으로 퍼지고 장기간 씹는 힘, 작은 간격이있을 수 있으며 여기를 통해 타액이 있으며 치석 악취의 내부가 더 강하고 작은 조각도 부러 뜨릴 수 있습니다.

치태가 두꺼우면 어떻게 하나요?
1, 병원 초음파 스케일링에 가서, 떨어지는 조각의 충격 후, 빨대로 빨아 먹기 위해, 위장에 삼키는 것을 피하기 위해, 결국 잇몸에 미적분 자극이 염증이 있고, 세척 과정은 피가 나지만 치아 법랑질을 마모시키지 않을 수 있습니다.
2, 치아 치석의 장기적인 압력으로 인해 박테리아 감염으로 인해 잇몸 후퇴, 치아 치석이 청소되고 자연스럽게 치아가 느슨해지고 치아 사이의 간격과 기타 문제가 발생하며 더 민감한 치아 통증, 상아질 노출도 더 많으므로 스케일링으로 인한 것이 아닙니다.

치석으로 인한 치주 손상이란 무엇인가요?
1. 느슨한 치아
치석이 치아 주위에 고정되어 있기 때문에 풀리기 전에 씻기 전에 많은 환자들이 스케일링과 나쁜 세척이라고 잘못 믿고 실제로는 그 자체가 이미 느슨해 져서 전체적으로 고정하는 치석 만 있으므로 세척하기 전에 보이지 않습니다.
2, 치아 간격이 커집니다.
치석은 잇몸을 파괴하고 치은 유두에 확실히 염증이 생기고 높이가 줄어들고 스케일링 후 간격이 커지는 이유이지만 스케일링과는 아무런 관련이 없으며 간격을 막는 치석이 없으며 말이 새어 나옵니다.
3. 치주 질환
치석이 남아 있으면 치주염이 더욱 악화되어 잇몸 출혈, 잇몸 함몰, 치조골 흡수, 구취 및 기타 불편 함과 같은 다양한 합병증을 유발하고 나중에는 영향을받은 치아에 치조골이 없어 3도 풀린 후 자동으로 빠지게됩니다.

구강 위생에 주의를 기울이고 1년에 한두 번 치아를 닦지 않으면 큰 치석 덩어리가 형성되어 악취가 하늘을 찌를 수 있습니다.
미적분학에 대한 궁금증을 풀어드리는 버닝브라더스 치과의사, [버닝브라더스 치과의사회]에 오신 것을 환영합니다!
손으로 떼어낼 수 있는 것은 음식물 찌꺼기이며, 양치할 때마다 이를 닦아내지 않으면 시간이 지나면서 치아에 달라붙어 치석이 될 수 있습니다.
치석이 있는 것은 끔찍한 일이 아니며, 병원 구강과나 일반 치과에 가서 치아를 닦으면 됩니다.
어떤 사람들은 스케일링이 매우 비싸게 느껴질 수 있다고 들었습니다. 사실 큰 병원에서는 수백 달러의 비용이 조금 더 높을 수 있지만 대부분의 사람들이 받아 들일 수 있다고 생각합니다. 매일 잇몸에서 피를 흘리는 것보다 맛이 좋지 않은 것을 강하게 먹는 것이 낫습니다. 이 병원 외에도 많은 체인 치과 병원이 그룹에있을 수 있으며 쿠폰, 저렴한 수십 달러, 일반적으로 약 100 달러의 쿠폰을 구입할 수 있습니다.
스케일링이 고통 스럽다고 느끼는 사람들도 있지만 여전히 알기 위해 연습해야합니다. 매일 양치질하기 전에 잇몸에서 피가 나고 물을 마시지 않고 조금 더 오래 숨이 매우 무거워지고 다른 구강 병원에 공개 번호를보고 소프트 카피를 작성하기 위해 단체 구매 쿠폰 인 69.9 위안을 구입했습니다. 가기 전에는 여전히 고통스럽지 않을지, 문제가 없을지 매우 걱정했습니다. 하지만 막상 가보니 이런 걱정이 사라졌어요.
치과 의사가 기구를 치아에 대고 물을 빨아들이기 위해 입에 넣는 튜브가 있습니다. 앞니를 닦을 때 전혀 아프지 않았고, 가장 안쪽 플라그가 너무 무거워서 그 기기로 긁어내는 것 같아서 뒤쪽이 조금 아팠습니다. 나머지 시간에는 전혀 아프지 않았고 다른 곳에서 본 이미지가 청소 과정을 묘사합니다.
"입 벌려"
지퍼, 지퍼, 지퍼.
"뱉어내세요."
물 한 모금 마시고, 양치질하고, 침 뱉기
지퍼, 지퍼, 지퍼.
"뱉어내세요."
물 한 모금 마시고, 양치질하고, 침 뱉기
지퍼, 지퍼, 지퍼.
"뱉어내세요."
알겠습니다.
실제로 침을 뱉을 때 입안의 치석을 느낄 수 있으며, 청소 후에는 치아가 약간 약해진 느낌이 들지만 며칠 후에는 괜찮아질 것입니다.
청소할 때가 되었다고 두려워하지 않으셨으면 좋겠습니다. 건강은 치아에서 시작됩니다. 제 답변이 도움이 되었기를 바랍니다.
적시에 처리하지 않으면 조심하면 미래는 치주 질환, 치주염, 심지어 구강 질환의 위험으로 고통받을 것이며, 미래의 일상 생활, 특히 사회적 행사 또는 표준에서 일하는 장면의 질에 심각한 영향을 미칠 것이며, 장면은 매우 당황스럽고, 우리의 일상 생활, 구강을 관리하고 유지하는 방법, 치아 건강은 매우 중요한 작업이며, 오늘날 우리는 인기가 있습니다!

첫째, 치아 주위에 이러한 "얼룩"이 생기는 경향이있는 조건은 무엇입니까?
일반적으로 생산하고 싶다면 얼룩을 떼어 내기 쉽고 입안에서 신맛이 나는 냄새를 맡을 수 없으며 일반적으로 개인 위생 습관이 매우 좋지 않으며 임상 데이터를 요약하면 다음과 같은 경우가 있으며 신맛이 나는 썩은 찌꺼기를 떼어내는 것이 매우 쉽다고 말합니다.
예를 들어, 어린 시절의 사람 자신의 치아는 치아를 바꿀 때 처음으로 모든 치아 전체, 이때, 질적,이 고르지 않은 치아 그룹 자체, 입안 자체, 음식 씹기, 많은 작은 음식 찌꺼기가 치아 틈새에 들어가고 음식 찌꺼기의 치아 사이 틈새로 청소하기가 매우 어렵고 치아를 청소하기가 매우 어렵습니다.
일부 젊은이들은 구강 위생에주의를 기울이지 않습니다. 예를 들어, 특히 중국 음식을 먹은 후 많은 사람들이 제 시간에 입을 헹구지 않습니다. 물론 헹굼이라고하면 치약을 사용하여 다시 씻는다는 의미가 아니라 이쑤시개를 사용하는 것 외에도 물로 헹구거나 제때 치실을 사용하는 것이 매우 필요하다는 것을 의미합니다.

그러나 일상 생활에서 많은 사람들, 특히 치아가 곧지 않은 사람들은 방치 될 것이며, 이러한 음식 찌꺼기는 시간이 축적 된 후 치아 사이의 틈새에 영구적으로 남아 있으며, 인간의 입에는 많은 수의 미생물과 박테리아, 혐기성 또는 호기성 박테리아가 어느 정도 포함되어 있기 때문에 이러한 음식 찌꺼기는 여러 반응 후 치아 사이의 틈새 주위에 이러한 잔류 물이 남게 될 것입니다. 일련의 반응 후, 치아 주변의 이러한 잔류물은 천천히 분해되고 부패되어 치아와 잇몸 주위에 축적됩니다.
시간이 지남에 따라 이러한 유해한 잔류 물이 치아의 주변 조직을 공격합니다. 예를 들어 잇몸이 천천히 노출되고 원래 흰색의 치아가 천천히 노란색으로 바뀌고 일단 발발하면 치아가 통증을 느끼고, 가장 중요한 것은 나중에 단계에서 치아가 천천히 매우 느슨해지고 마침내 치아 염증이 치아를 미루어야한다는 것입니다.
둘째, 치아에 영향을 미칠 수있는 이러한 긁힌 얼룩은 어떻게 진화하고 수행됩니까?
젊은이들의 많은 사람들이 정기적으로이를 닦을 것이라고 말할 수 있지만 기본적으로 비과학적인 양치질, 주위에 치아에 남아있는 음식 찌꺼기, 개인의 면역력과 저항력이 감소하는 나이, 치아도 생리적 이유로 인해 치아 건강의 질이 천천히 노화로 갈 것이며, 현재 많은 사람들, 특히 중년층, 치주 질환의 발병 가능성이 크게 증가합니다! 현재 많은 사람들, 특히 중년층은 치주 질환의 발병 가능성이 크게 증가합니다.

그 이유는 일상 습관 외에도 많은 사람들이 흡연, 알코올 중독, 커피 마시기, 점액, 특히 전분과 설탕이 함유 된 음식을 더 많이 먹는 것과 같은 나쁜 습관이 많이 있으며, 흡연은 니코틴, 타르와 같은 유해 물질을 생성하며 이러한 물질은 인체의 치아 법랑질에 직접적으로 해를 끼칩니다.
우리는 종종 흡연자 치아가 종종 노란색을 보는데, 이것은 오랫동안 연기 타르로 인해 축적되어 커피를 마시는 것 외에도 이러한 매우 어두운 색의 음식, 일반적으로 이러한 음식을 먹으면 효과적이고 빠른 구강 헹굼을 수행하지 않으면 색상 성분을 포함하는 이러한 물질이 치아와 치아 주위에 오랫동안 붙어 진화하고 치아의 치아, 치아의 치아의 치아를 진화시킬 수 있기 때문입니다.
매운 음식을 먹는 일반적인 시간과 함께 어떤 경우에는 치아와 잇몸 조직의 기본 뿌리를 파괴하고 일단 파괴되면 이러한 외부 유해 물질이 치아의 내부 조직을 쉽게 공격 할 수 있으며, 이때 많은 수의 번식, 플라크, 치주 질환 및 기타 기본적인 치과 구강 문제를 쉽게 공격 할 수 있습니다.

가장 중요한 것은 치아, 특히 에나멜이 파괴되면 매일식이 과정에서 많은 음식 찌꺼기가 치아 주위에 붙기 쉽고, 먹을 때마다 손을 사용하여 아래로 내려 가면 위의 손톱이 흰색 끈적 끈적한 물질을 남길 것입니다.
어떤 그룹의 사람들이 이러한 증상을 겪을 가능성이 가장 높은지, 주로 치아가 똑 바르지 않은 사람들, 주로 자신과 외부 힘으로 인해 밤늦게 흡연과 음주를 자주하는 사람들, 위생에주의를 기울이지 않고 틀니 그룹을 착용하는 사람들,이 사람들은 자신의 치과 문제를 가져오고 향후 치아 위에 음식 찌꺼기를 생성하기 매우 쉽습니다.
셋째, 치아를 예방하고 관리하는 방법은 무엇인가요?
일반적으로 치아가 곧지 않고 상태가 좋지 않은 자신의 치아뿐만 아니라 군중의 치아를 씻는 것을 좋아하지 않는 경우 매년 정기적으로 치과에 가서 확인하는 것이 좋으며 치아가 매우 더러워진 것으로 밝혀지면 보호 조치의 청소를 수행하는 것이 좋습니다.
일반적인 청소, 치아는 매우 깨끗하고 밝은 흰색이되지만 조금 나쁜 것은 치아와 치아에 인접한 치아, 간격이 매우 커져서 먹을 때 음식이 내부에 끼기 쉽기 때문에 스케일링은 장단점이 있으며, 물론 치석이 매우 심각한 경우 스케일링이 가장 중요한 단계이며 더 아래에있는 치석은 치주 질환 등이기 때문에 스케일링이 가장 중요합니다.

일상 생활에서 구강 청결제를 사용하는 것이 좋습니다. 구강 청결제는 치아 틈새나 치아 주변에서 음식물을 제거하는 데 효과적으로 작용하여 구강 위생에 도움이 됩니다.
효과적인 치료를 위해 치실, 이쑤시개를 사용하는 것이 가장 중요한 것은 무엇이든, 우리가 무언가를 먹을 때마다 외출과 같은 효과적인 구강 헹굼을 수행해야하며, 사용하기 쉬운 일종의 미니 구강 세정제 등을 가져와 항상 구강 위생을 유지해야한다는 것입니다.
또한 밤과 다른 시간대에는 치아에 매우 해로운 단 음식이 있고 노인들은 치아 법랑질을 보호하기 위해 가능한 한 적게 먹으려고 노력하기 때문에 단 것을 먹지 않는 것이 중요합니다.
결론적으로 치아는 인체가 먹고 씹는 데 가장 중요한 도구이며, 좋은 치아는 삶의 질과 기분을 좋게하고 좋은 습관을 개발할 수 있으며 구강 위생이 가장 중요합니다.
저는 의학박사이며, 팔로우를 클릭하여 지원처럼 팔로우해 주세요!
치석은 양치질을 할 때만 생기는 것이 아니라 시간이 지나면서 서서히 형성되지만, 일부 치석이 천천히 떨어져 나가는 것은 이상합니다.
내 상황이 내 치아를 닦기 전에 피를 흘리기 전에 때로는 찐 빵을 먹는 것이 피를 흘리며 구취가 아닙니다. 항상 특정 요소가 부족하다고 생각했기 때문에 사과를 자주 먹고 우유를 마시지 만 언젠가 치아에서 치석 블록을 버클 다운하여 치아가 빠진 느낌이 매우 불편할 때까지 상황이 개선되지 않았으므로 치과 스케일링에 가서 두 번으로 나누어 정말 매우 편안하게 씻고 그때부터 더 이상 칫솔질이 피를 흘리지 않습니다.
본 질문과 답변은 사이트 이용자의 질문과 답변으로 사이트의 입장을 대변하지 않으며, 침해가 있을 경우 관리자에게 문의하여 삭제해 주시기 바랍니다.